• NSS-6 数字切片扫描仪利用全自动显微扫描系统,结合软件系统,把传统玻璃切片进行扫描、无缝拼接, 生成一张全视野的数字切片。
• 主要由玻片由动上样系统、光学成像系统、扫描平台、控制系统和配套软 件组成,可以对传统的玻璃切片进行高速、高分辨率的全景图像扫描,通过专业的阅图软件可以对此图 像文件进行倍率放大和缩小、面积测量和标注等功能,也可以利用互联网实现全景图像的远程传输、浏览。
• 改变了传统的显微镜下阅片模式,更加有利于进行图像诊断、数字化教学和科学研究等应用。
高精度扫描载片平台
独特磁吸式载玻板,确保载玻板精致定位,避免装卸时反 复摩擦,保证装载顺畅,防止装载时切片掉落摔坏。采用进口磁浮式直线电机:运行速度 3.2m/s,加速度 8g。高精度全闭环驱动控制系统:X/Y 轴运动分辨率 50nm,Z 轴运动分辨率 50nm。扫描载玻平台重复定位精度≤ 0.1um。
高速扫描
线性扫描技术,配置高速线性扫描相机。确保高速度、高品质、稳定的扫描成像。可进行 20 倍和 40 倍高速扫描。组织面积 15mm×15mm,20 倍扫描时间≦ 40 秒。
清晰、明亮、均匀的成像
标配 20X 平场复消色差物镜,N.A.=0.75。高 NA 的物镜提供了高光通量,提高物镜分辨率,是图像更加清晰。照明系统采用定制 LED 专业光源,复眼透镜技术,保障超高光 能利用率和持久的均匀照明。
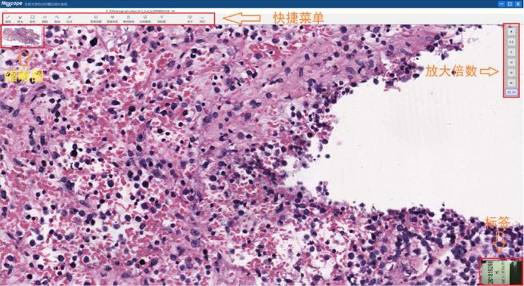
专业的图像扫描、管理与浏览软件

批量扫描
用户可自定义扫描需求,对扫描区域、位置、倍数 等进行自定义与存储,可快速进行批量扫描

图片管理与浏览
图像存储与导入功能以对实验数据进行长期存档;图像压缩格式支持 : 支持 JPEG、TIFF、BMP 等格式;浏览不同扫描倍数下的全景信息数字化玻片,可进行注释、标记;可形成标准教学示范图集,用于教学;
应用范围


