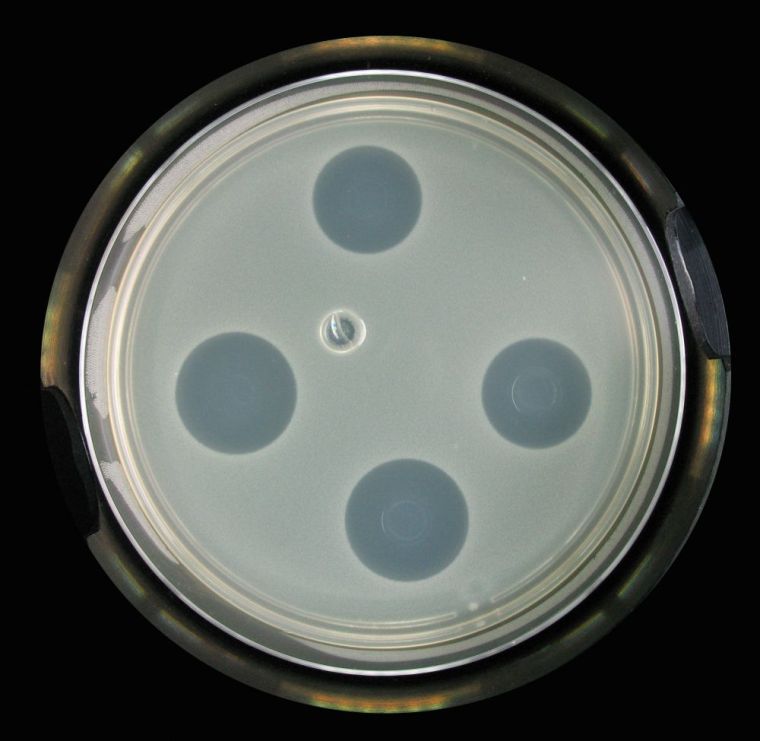
主要用于水解圈、透明圈、抑菌圈等直径自动测定
功能介绍
全封闭照明
采用全封闭暗箱,隔绝环境光的干扰,彻底消除杂散光在玻璃培养皿折射形成的光斑、光环现象。可见光采用3色LED模拟自然光,上光源具有环绕360度无影照射功能,为抑菌圈成像提供全方位、立体、清晰的成像效果。

抑菌圈一键测定
一键点击,准确找到抑菌透明区域与底层菌的“边界线”

数据安全与管理
多用户登录系统,每个账户形成独立数据,数据**保存,统计结果以PDF格式输出,并具备审计追踪功能。


主要性能指标
1、成像装置:
全封闭暗箱,能够消除外环境杂散光干扰
三色LED可见光
上、下光源亮度、开启关闭可自由切换,采用全触摸式调节按钮
色温自动控制,接近自然光
1000万像素标清彩色相机
300万像素高清镜头8mm
2、软件功能:
1)分类一键测量:
自动测量:适合边缘清晰、标准圆形抑菌圈轮廓的精确边缘检测
拟圆填补:根据圆弧确定圆心,模拟整圆
手动测量:鼠标点击抑菌圈圆弧上三点成圆,适合边缘模糊的抑菌圈
2)辅助统计工具:
人工修正:鼠标单击可添加或删除抑菌圈轮廓
标注:可在图片上根据需要标注文字、数字等信息
自定义标定:根据琼脂高度,用户可进行微调标定
抑菌圈边缘校正:图片放大后,修正边缘模糊的抑菌圈
3)数据安全与管理:
多用户登录系统,每个账户形成独立数据,数据长久保存
统计结果以PDF格式输出,原始数据不可更改
具备审计追踪功能,操作人员在软件上的每一步操作软件自动记录,以便后续结果数据的追溯
与CFR 21第11部分兼容:系统安全,操作控制,文件管理
配置
DTS1型抑菌圈测定分析仪主机
Zstream自动抑菌圈测定分析软件
商务台式电脑