显微高光谱成像分析系统 | ATH5010 |
综合概述
ATH5010是奥谱天成推出的一款体积小、高清、高质量的显微高光谱成像仪,主要功能是扫描细微样品,可得到不同区域的反射率曲线,由高倍数显微镜、高光谱成像仪、数据处理工作站等组成。
ATH5010采用1920×1024像素(最高2048×2048像素)的高光谱成像成像器件,成像清晰、噪点少。ATH5010采用高稳定、高蓝、高红外、长寿命LED照明光源,并且采用同轴照明光源设计,使用起来非常方便,且长时间无需更换光源等维护操作。
ATH5010成像光谱技术对样本进行光谱成像,具有快速、准确、光谱分辨率高、空间分辨率高及通用性强等特点,可进行医学、病理学、制药以及生命科学等方面的研究,可作为医疗机构、科研机构、医学院校、制药企业的实验研究设备。
型号 | 特征 |
ATH5010 | 正置型,400~1000nm |
ATH5010-17 | 正置型,900~1700nm |
ATH5010-25 | 正置型,100~2500nm |
ATH5010-4-17 | 正置型,400~1700nm |
ATH5010-4-25 | 正置型,400~2500nm |
产品特征
l 多种波段范围可选
l 高光谱分辨率
l 物镜倍数:
n 标配:5×、10×、20×
n 选配:40×、100×
l 500万像素可见光相机
l 高稳定、高蓝卤素灯
l 同轴照明光源
l 高稳定、高蓝、高红外、长寿命LED照明光源
l 长寿命照明光源
l 正置型、倒置型可选
产品应用
l 医疗机构:癌组织筛查、血细胞分类
l 半导体晶圆检测
l 科研机构、大专院校
l 制药企业:中药材的防伪
l 食品安全:肉源鉴定
l 微塑料的鉴别
l 矿物质的筛查
l 司法鉴定:文检鉴定
l 生物学:细菌、细胞分析
l 材料学:材料微观检测
l LED发光面的均匀性分析

1.显微高光谱的应用案例
1.1.显微高光谱在肿瘤组织检测的应用
医学高光谱图像将二维空间图片与一维光谱信号合并为一个三维数据立方体。结合光谱和成像技术,医学高光谱图像的本质是反映材料以及在分子级别的电磁波下如何吸收和反射光线。它不仅包括丰富的空间信息,更包含许多称之为光谱特征的连续窄波段,这样能够准确地区分不同的血细胞。目前,医学高光谱成像技术已应用于舌肿瘤、肠道缺血及癌症、出血性休克、医疗食品安全以及其它诊断学的检测。

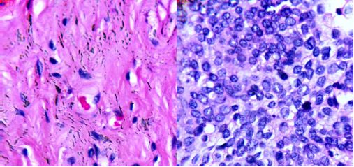
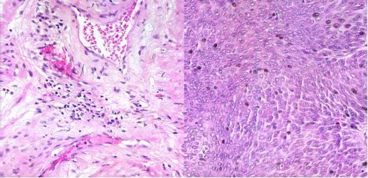
(a)100X宫颈癌非肿瘤切片;(b)100X宫颈癌肿瘤切片

(a)40×膀胱癌非肿瘤切片;(b)40×膀胱癌肿瘤切片

医用显微成像光谱仪数据
1.2.显微高光谱在血细胞检测的应用
血细胞分类在诊断学中作用巨大。例如,细胞谱相的识别与某个特定的疾病相关联,以及白细胞的计数已被证明与多种疾病相关联,包括肥胖、吸烟、过敏性哮喘等。最初,血细胞分类与计数在显微镜下手工进行,这样不仅费时,而且错误率较高。自动血细胞分类能在数字显微成像技术下实现。由于不同类型的血细胞形状相似,细胞分类的准确性和特异性仍然对传统的显微成像技术造成挑战。医学高光谱图像将二维空间图片与一维光谱信号合并为一个三维数据立方体。结合光谱和成像技术,医学高光谱图像的本质是反映材料以及在分子级别的电磁波下如何吸收和反射光线。它不仅包括丰富的空间信息,更包含许多称之为光谱特征的连续窄波段,这样能够准确地区分不同的血细胞。目前,医学高光谱成像技术已应用于舌肿瘤、肠道缺血及癌症、出血性休克、医疗食品安全以及其它诊断学的检测。

医学高光谱图像数据库的不同波长的波段

(a)背景、白细胞和红细胞伪彩色图像;(b)实际分布图