PP32高通量自动化蛋白纯化工作站是一款磁珠法自动纯化设备,纯化效果媲美传统的亲和层析柱法,具有高通量、自动化、小体积、快速便捷等优点。搭配知禾自主研发的抗体或蛋白纯化磁珠,可为客户提供高通量、高回收率的自动化蛋白纯化方案。
该仪器广泛应用于抗体药物、体外诊断及基础科学研究领域。
代表性纯化样本类型:293/CHO细胞培养上清、小鼠杂交瘤细胞培养上清、小鼠杂交瘤腹水、原核表达上清和血清
产品特色

纯化案例
【案例1】自动纯化小鼠腹水
取0.2ml 小鼠腹水,采用蛋白A磁珠,进行PP32自动纯化
纯化结果:
上样体积 | 磁珠体积 (μl) | 洗脱体积 (μl) | 洗脱蛋白浓度 (μg/ml) | 洗脱蛋白总量 (μg) | 纯度(SDS-PAGE) |
| 0.2 | 100(10% v/v) | 200 | 3100 | 620 | >95% |
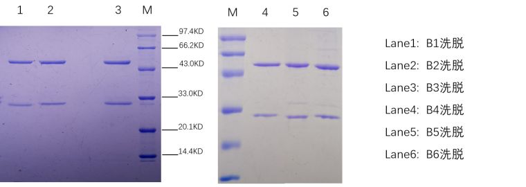
【案例2】自动纯化小鼠杂交瘤细胞培养上清
取1ml 小鼠杂交瘤上清,采用蛋白A磁珠,进行PP32自动纯化
纯化结果:
SDS-PAGE变性电泳图:
【案例3】自动纯化293细胞上清
1ml 293细胞培养上清
纯化结果:
订购指南
| 产品名称 | 规格 | 货号 |
| Protein Purifier 32 | 1台(中文版) | PP32-ZH01-01 |
| 8联磁棒套 | 4个/袋 | MC08-01 |
| 96孔深孔板(PP32) | 1块 | WP32-01 |